journal
0%
...

Tıbbi ismi Gluten enteropatisi olan çölyak hastalığı (ÇH), genetik yatkınlığı olan bireylerde glutenin tetiklediği ve dünya nüfusunun %0,5-1'ini etkileyen otoimmün bir hastalıktır. Çölyak hastalığı daha sık olarak kadınlarda görülür ve Marsh sınıflamasına göre Tip 0, Tip 1, Tip 2, Tip 3 ve Tip 4 olarak kategorilere ayrılmaktadır. Şu anda, çölyak hastalığı için glutensiz diyet dışında onaylanmış bir tedavi bulunmamaktadır.

Çölyak hastalığının nedeni olan gluten; buğday,arpa, yulaf ve çavdar gibi tahıllarda bulunan bir protein grubudur. Gluten, buğdaydaki iki anabileşen olan glutenin ve gliadinden oluşur. Gliadin, hamurun yapışkanlık özelliklerini sağlayan bir bileşendir. Genetik yatkınlığı olan kişilerde glutenalımı sonrası gliadin, bağışıklık sisteminin aşırı bir tepki göstermesine ve ince bağırsağa saldırmasına neden olur. Bu reaksiyon, incebağırsakta iltihaplanmaya yol açar ve incebağırsak mikrobiyotasında ciddi hasarlar meydana getirir.

...
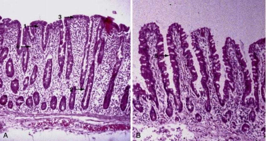
Şekil 1. A görseli, villus atrofisi, kript hiperplazisi ve ince bağırsak yüzey epitelinde meydana gelen zedelenmeyi göstermektedir. B görseli ise glutenden yoksun bir diyet sonrası mukozanın görünümünü yansıtmaktadır.

Çavdarda bulunan sekalin ve arpada bulunanhordein; gliadin gibi gluten proteinleri grubuna aitprolamin proteinleridir ve çölyak hastalığınıtetikleyebilecek diğer prolaminlerdir. Glutene karşı gelişen immünolojik tepki, ince bağırsağın iç yüzeyindeki villuslara zarar verir. Bu durum, besinlerin emilimini etkiler ve vitaminler ile mineraller dahil çeşitli besin maddelerinin emiliminin azalmasına yol açar, bu da malabsorbsiyona neden olur.

Bağırsak hasarı sıklıkla ishal, yorgunluk, kilo kaybı, şişkinlik ve anemi gibi belirtilerle kendini gösterir ve ciddi komplikasyonlara yol açabilir. Şekil 1’de, bir çölyak hastasının gluten fakir bir diyeti uygulamadan önce ve uyguladıktan sonraki ince bağırsak mukozasının görüntüleri verilmiştir. Şekil 1. A görseli, gluten etkisiyle düzleşmiş villusları göstermektedir.

2016-2017 döneminde Sağlık Bakanlığı kayıtlarına göre Türkiye'de çölyak tanısı almış hasta sayısı 40.703’tü. Bu sayının 75 bine yaklaşması beklenmektedir. Ancak, çölyak hastalarının yalnızca %10'unun teşhis edilebildiği göz önünde bulundurulduğunda, Türkiye'de yaklaşık 750 bin çölyak hastası olabileceği öngörülmektedir. Çölyak hastalığının tanısını koymak zordur ve hastanın uzun bir gözlem süreci gerektirir. Hastanın şikayetleri, kan testleri, endoskopik ve patolojik bulgular çölyak hastalığına uygun olduğunda, hasta 3-6 ay boyunca glutensiz bir diyete başlanır. Bu süre zarfında, ince bağırsaktaki glutensiz diyete verilen tepki değerlendirilir ve tüm bulgular doğrultusunda kesin bir tanı konabilir.

Araştırmalar, çölyak hastalığının genetik faktörlerin yanı sıra immünolojik ve çevresel etmenlerle de ilişkilendirildiğini göstermektedir. Hastalık, aile bireylerinde çölyak hastalığının bulunmasının yanı sıra, tip 1 diyabet ve otoimmün tiroidit gibi diğer otoimmün hastalıklar; Down, Turner ve Williams sendromları gibi kromozomal bozukluklar ve seçici IgA eksikliği durumlarında daha sık görülür. Ayrıca, çölyak hastalığının Dermatit herpetiformis, Hashimoto tiroiditi, Addison hastalığı, nörolojik rahatsızlıklar ve karaciğer otoimmün hastalıklarıyla da bağlantılı olabileceği belirtilmiştir.

Amerika Birleşik Devletleri Gıda ve İlaç Dairesi (FDA) tarafından çölyak hastalığına yönelik onaylı bir tedavi seçeneği mevcut değildir. Tek mevcut tedavi yöntemi, gluten içermeyen ürünlerin tüketilmesidir. Bu diyet, nöropsikiyatrik ve dermatolojik sorunlar, açıklanamayan karaciğer enzimleri, tip 1 diyabet ve otoimmün tiroidit hastalıkları gibi birçok ekstraintestinal belirtinin düzelmesini sağlayabilir. Ancak, gluten içermeyen ürünlerden kaçınmak, çapraz kontaminasyon riski nedeniyle uygulamada oldukça zordur. Bunun yanı sıra, gluten içermeyen diyetler bazı hastalar için yeterli olmayabilir. Bu diyet sonrasında besin yetersizliklerinden dolayı B1, B2, B3, B6, B9, B12 ve D vitamini ile kalsiyum, magnezyum, çinko, demir ve selenyum minerallerinin eksiklikleri görülebilmektedir. Dahası, çölyak hastalarında villusların hasar görmesinin ve laktaz enziminin eksikliğinin geçici laktoz intoleransına yol açabileceği bilim insanları tarafından ileri sürülmüştür. Bu durumda laktoz içermeyen bir diyet önerilir.

Yeni çalışmalar, düşük seviyelerde gluten maruziyetini sınırlamaya yönelik çeşitli stratejiler geliştirmektedir. Bu stratejiler, genetik mühendislik ile immünojenik olmayan buğday türlerinin oluşturulması, eksojen peptidazlar kullanılarak glutenin sindirilmesi, glutenin bağırsak lümeninde tutulması ve bağırsak epitelinin geçirgenliğinin azaltılması gibi yöntemleri kapsamaktadır. Genetik mühendislik ile glutenin immünojenik özelliklerini azaltmak amacıyla genlerin susturulması glutenin yapışkanlık ve elastikiyet özelliklerinde değişikliklere yol açabilir. Bu fiziksel özellikler hamurun yapısal bütünlüğü ve kıvamı açısından önemlidir ve bu değişiklikler gıda ürünlerinin kalitesini etkileyebilir. Ancak, RNA interferans teknolojisiyle geliştirilmiş E82 buğdayı gibi çalışmalar, immünojenik epitoplara maruziyeti azaltarak çölyak hastalığına neden olan bağışıklık yanıtını hafifletebileceğini önermektedir.

Farmakolojik tedaviler ise, glutensiz diyete yanıt vermeyen hastalar için kısa vadede yararlı olabilir. Bu hastalar için umut vaat eden yeni farmakolojik seçenekler arasında Larazotide ve Latiglutenase bulunmaktadır. Larazotide, bağırsak geçirgenliğini azaltmayı amaçlarken, Latiglutenase glutenin zararlı etkilerini engellemeye çalışır. Larazotide'nin faz 3 denemelerinde beklenen sonuçlar elde edilememiş olsa da Latiglutenase mukozal bozulmayı önlemede umut verici bulgular sunmuştur. Her iki ilacın etkinliği ve güvenliği hakkında daha fazla klinik araştırma yapılması gereklidir.

...